Decoding Abdominal Aortic Aneurysm
When to Worry

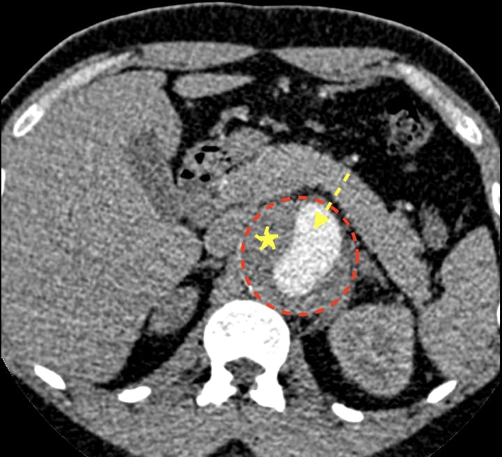
AORTIC ANEURYSM OVERVIEW
An aortic aneurysm arises when the walls of the aorta—the primary vessel transporting blood from the heart—swell or expand. Although aneurysms can develop anywhere along the aorta, the abdomen is the most frequent location.
In most cases, intact abdominal aortic aneurysms (AAAs) don't pose significant health risks. However, if a large AAA ruptures, it can lead to severe internal bleeding within the abdomen, necessitating immediate surgical intervention. In rare instances, blood clots from an AAA may dislodge and obstruct leg arteries, resulting in sudden, intense leg pain and compromised blood circulation.

ABDOMINAL AORTIC ANEURYSM RISK FACTORS
AAA is relatively rare in individuals under 60 years old. About 1 in 1000 people develop an AAA between 60 and 65, with the prevalence increasing with age. Screening studies reveal AAAs in 2 to 13 percent of males and 6 percent of females over 65. However, nearly 90 percent of detected aneurysms are small (under 3.5 cm in diameter) and have a low rupture risk.
Several factors heighten the likelihood of AAA development:
● Smoking substantially raises AAA risk, with a direct correlation between duration and risk. Quitting smoking reduces this risk over time.
● Males are four to five times more likely to develop AAA than females.
● White individuals have a higher AAA incidence compared to other ethnic groups.
● Those with medical conditions like coronary heart disease and peripheral vascular disease face a higher AAA risk than their healthier counterparts.
● A family history of AAA not only increases the risk but also amplifies age and gender-related risks. For example, brothers over 60 years old with a sibling who has an AAA face an 18 percent risk of developing the condition.

Screening for AAA
Physicians advise specific groups of people to undergo screening tests for AAA based on their increased risk of developing the condition. These groups include older men, particularly smokers, and those with a family history of AAA.
Abdominal ultrasonography is the most common screening method for AAA. This non-invasive procedure involves using a wand on the abdomen to emit high-frequency sound waves, generating an image of the abdominal aorta.

Screening recommendations differ globally, but generally, the following groups should consider screening:
● Males aged 65 to 75 with a history of smoking. After one negative ultrasound, repeat screening offers little benefit. Men older than 75 may have a reduced likelihood of benefiting from screening.
● Males and females aged 60 or older with a family history of AAA. While the AAA risk is significantly lower in females than males, women have a higher risk of rupture. As a result, some professional societies recommend a one-time screening for females with risk factors to enhance early detection and prevention.
SURVEILLANCE OF SMALL ASYMPTOMATIC AAA
The majority of AAAs are small when detected through screening processes or via radiological exams (e.g., ultrasound, computed tomography, magnetic resonance) performed for unrelated reasons. While small AAAs typically do not necessitate treatment, regular monitoring is advised to track the aneurysm's size and any associated symptoms.
Individuals with a known AAA who do not undergo periodic surveillance imaging face a heightened risk of AAA rupture. The recommended frequency for surveillance ultrasounds varies based on the aneurysm's size. Very small AAAs may only need monitoring every few years, whereas larger aneurysms warrant annual or even more frequent evaluations.
ABDOMINAL AORTIC ANEURYSM SYMPTOMS
Most of AAAs are small, asymptomatic, and often go undetected by those affected.
In some cases, AAAs can cause a noticeable pulsation near the navel, which may be identified by a healthcare professional during a routine physical exam. Approximately 30 percent of symptomless AAAs are discovered this way.
Certain AAAs may trigger abdominal or back pain and are typically identified during evaluations for such discomfort.
Blood can accumulate in the bulging section of the aorta, leading some individuals to develop blood clots within the aneurysm. If a clot dislodges, it can obstruct a blood vessel in the leg, resulting in pain, numbness, or tingling. In more severe instances, parts of the leg or foot may appear pale and feel cool to the touch.

Ruptures usually occur with little prior warning. However, those experiencing abdominal pain or tenderness may have had a recent increase in aneurysm size, potentially indicating an imminent rupture.
ABDOMINAL AORTIC ANEURYSM TREATMENT
Each year in the United States, approximately 10,000 fatalities result from AAAs, primarily due to rupture. The success rate of surgery is significantly lower post-rupture compared to elective surgery performed before the rupture. The primary goal of therapy is to address the aneurysm before a rupture occurs.
Aneurysm repair serves as the main treatment for symptomatic aneurysms or those with a high risk of rupture. However, repair procedures carry their own set of risks and complications. Balancing the risks and benefits of elective repair against the potential complications or death from an untreated aneurysm is crucial. Making an informed decision necessitates understanding the typical progression of untreated aneurysms and their potential outcomes.
Risk of rupture
The risk of rupture for small aneurysms (under 4.0 centimeters) is considerably lower than that of large aneurysms (over 6.0 centimeters). Besides size, the rate of AAA rupture is also influenced by the aneurysm's expansion rate. Evidence indicates that aneurysms grow at an average pace of 0.3 to 0.4 centimeters per year (1 inch = 2.5 cm), with larger aneurysms expanding more quickly than smaller ones.
However, the rate of expansion can vary significantly among individuals and even for a single person over time. Aneurysms that expand rapidly (e.g., over 0.5 cm within six months) may have a higher risk of rupture. Many individuals experience extended periods with minimal changes to aneurysm size. Some aneurysms may remain relatively stable in size for a while before undergoing rapid expansion for reasons that are not well understood.
Expansion tends to occur more quickly in smokers and more slowly in those with diabetes mellitus. To date, quitting smoking is the only proven method for reducing aneurysm enlargement.
Other aneurysm complications
Less common and lesser-known complications of AAA include:
● Inflammatory aneurysm: Swelling and inflammation of the aneurysm wall, leading to abdominal pain.
● Aortovenous fistula: An abnormal connection between the aorta and a vein.
● Primary aortoenteric fistula: An abnormal connection between the aorta and the bowel.
● Blood clots or debris: Blockage of blood flow to the legs, originating from the AAA.
● Infected aneurysm.
These complications can pose significant threats to limbs and life. When identified, they typically necessitate repair to prevent further harm.
General treatment principles
In all cases, deciding whether and when to repair an asymptomatic AAA depends on the risks associated with the aneurysm and the repair procedure. For most individuals with an asymptomatic aneurysm smaller than 4.0 cm (1.6 inches), immediate surgery is not advised. Instead, watchful waiting is recommended, usually involving abdominal ultrasound examinations every six months to three years, based on the aneurysm size.
Conversely, people with an asymptomatic AAA larger than 5.5 cm (2.2 inches) or one that expands over 0.5 cm within six months are generally advised to undergo repair. Some doctors recommend repairing AAAs larger than 5 cm (about 2 inches) in selected females, as the risk of rupture is greater for them than males. Repair may also be recommended if the AAA is more than twice the size of a normal aorta section.

For individuals with an asymptomatic AAA between 4.0 and 5.5 cm, discussing options with a physician is crucial. The optimal approach depends on the repair risk and the person's rupture risk. Factors influencing this decision include:
- AAA size and expansion rate.
- Symptom development: Repair may be advised for those with tender, painful, or symptomatic AAAs.
- Presence of other aneurysms: Repair is recommended for people with aneurysms in other large arteries.
- Surgical risk: High-risk individuals may benefit more from watchful waiting or less invasive repair.
Medical treatment
Small asymptomatic AAAs that are not expanding quickly are usually left alone and watched for changes in size, most often by ultrasound examination of the abdomen every six months. A small AAA that gets to be 5.5 cm or larger, or that expands more than 0.5 cm over a six-month period of time, should probably be repaired surgically, if possible.
People being followed with ultrasound, those awaiting repair, or those who have an AAA but whose doctor feels that surgery is too risky are watched carefully and their medical problems carefully managed. Blood pressure is carefully controlled, and cigarette smoking should be stopped.
In people who are being followed with watchful waiting, physical activity, such as walking, bike-riding, and other aerobic exercises, may reduce the risk of rupture; however, people should avoid activities like heavy lifting or other exercises that involve undue strain (such as military squats). If you would like to incorporate physical activity into your routine, ask your doctor for guidance.
People should call their doctor if they develop abdominal tenderness or back pain. These symptoms may be signs of rupture or impending rupture.
Surgical repair
AAA can be repaired either through "open surgery" or with the use of an "endovascular stent graft". Repair of the aneurysm is recommended if it:
●Causes symptoms
●Is larger than 5.5 cm (2.2 inches) in diameter
●Is rapidly expanding, or
●Occurs along with aneurysms in the iliac, femoral, or popliteal arteries
Surgical Risk
Surgery inherently carries specific risks that vary depending on an individual's overall health. The surgical risk for AAA repair increases with age and the presence of other health conditions. For example, people with heart or lung diseases and smokers are more likely to experience complications like pneumonia and heart rate irregularities after surgery. Furthermore, older adults are more susceptible to issues, such as cardiac events and strokes, during and after surgery.
Coronary heart disease is prevalent among those with AAA. If additional risk factors for heart disease exist, such as smoking, diabetes, or high blood pressure, the doctor may recommend a heart evaluation before considering surgery. This assessment may range from a basic exercise stress test to heart catheterization.
Open Surgery
Open surgical correction of AAA involves the removal of the dilated section of the abdominal aorta and its replacement with a synthetic graft. This graft, made of a durable synthetic material, is carefully sutured into place, allowing blood to flow normally while being covered by the artery wall. Elective surgery effectively reduces the risk of rupture for large asymptomatic AAAs, and graft failure is rare.
The surgery takes place in an operating room under general anesthesia, typically lasting between two to four hours, although it can sometimes extend beyond that duration. Post-surgery, the patient is transferred to the intensive care unit for close monitoring. Various catheters are used during the recovery process, including:
1. Urinary catheter: Drains the bladder.
2. Arterial catheter: Monitors blood pressure.
3. Central venous catheter: Measures pressures in the heart.
4. Epidural catheter: Administers pain medication.
5. Nasogastric tube: Runs from the stomach to the nose, initially keeping the stomach empty.
Patients can generally return home after four to seven days and resume normal activities in approximately four weeks. By providing additional information, the expanded text offers a more comprehensive understanding of the open surgery process and recovery.
Endovascular Stent-Graft
A less invasive surgical procedure known as endovascular aneurysm repair (EVAR) has proven successful in repairing AAAs. This procedure typically involves making an incision in the groin to expose the femoral artery, then inserting a wire into the vessel. A variety of specialized catheters are used to guide a folded stent-graft to the AAA site. In some cases, the surgeon may access the common femoral artery without making an incision (percutaneously). Once the femoral artery is accessed, dye is injected to help position the stent-graft device accurately at the aneurysm. The stent-graft is then unfolded and expanded using a balloon, which presses it against the normal aortic wall. This graft is not sutured into place; instead, blood flows through it, reducing the pressure on the aortic wall.
Although there is less experience and data regarding endovascular stent-grafts compared to open surgery, long-term outcomes are being studied. In most cases, stent-grafts have become the primary treatment, with approximately 80 percent of AAAs being repairable using the EVAR approach. However, younger individuals, those with underlying connective tissue diseases, and those for whom a stent-graft may not fit properly might be offered conventional open surgery. By expanding the text, readers gain a more comprehensive understanding of the endovascular stent-graft procedure and its applications.
Comparing Repair Methods
Open surgery carries slightly higher short-term risks but offers a definitive solution. On the other hand, endovascular repair poses a lower short-term risk, but requires careful monitoring due to potential complications. Stent-grafts may slip out of place, causing endoleaks or graft kinking. Resolving these issues typically involves a less complex procedure than the initial surgery. If your doctor presents both options, consider asking the following questions:
● What are the specific risks associated with each procedure for my situation?
● What type of follow-up care will be necessary for each option?
● What are the potential outcomes if I decide not to undergo either treatment?
Summary
The majority of individuals with abdominal aortic aneurysms (AAAs) lead healthy, symptom-free lives. Deciding whether to pursue surgery involves assessing the risk of aneurysm rupture against the potential risks and benefits of a surgical intervention. General guidelines are available based on aneurysm size and expansion rate, but each treatment decision should be tailored to the individual. Patients are encouraged to consult with an experienced healthcare provider to discuss their unique surgical risks and make well-informed decisions.
About the Creator
Mohammad Barbati
Mohammad E. Barbati, MD, FEBVS, is a consultant vascular and endovascular surgeon at University Hospital RWTH Aachen. To date, he has authored several scientific publications and books regarding vascular and venous diseases.


Comments
There are no comments for this story
Be the first to respond and start the conversation.