My Little Sister
A wonderful story on how my little sister Mollie got through having her left side of her brain removed and beating the odds!

The day my sister Mollie was born she was bought back into the hospital because she was having seizures which they then did tests to try and find out what it was and what the reason was to her having the seizures. She was home within 24 hours and she kept jerking and my mum turned to full parent mode and just thought she was cold so they wrapped her in a blanket then the jerking stopped and that all my parents thought it was. A few minutes later tho, it happened again, and again, and again. But then she kept touching her mouth the exact same way, over and over again, they knew something wasn't right. It was like she was in a time loop where if she did something it would just repeat the exact same way.
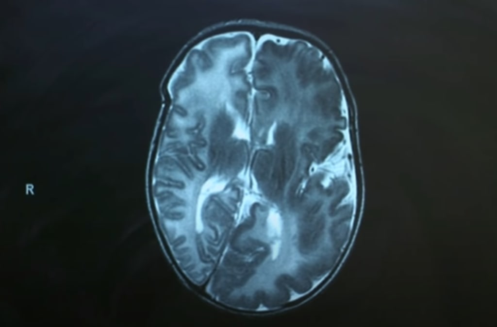
Day after day there were most tests ran on her and after about a week she was sent for an MRI and a CT scan. One of the doctors who was taking care of my sister came back to us with a diagnosis called Hemimegalencephal for short HME. This is a rare neurological condition in which one-half of the brain, or one side of the brain, is abnormally larger than the other. The structure of the brain on the affected side may be markedly abnormal or show only subtle changes and this is what had lead to her seizures. One side of the brain had actually travelled and pushed the normal side.
For the first two years of her life there was constant seizures. With HME there's only a certain amount of medication they can use because its starts to run out and stops to work because the seizures were so complex and difficult to control. When I think back, I don't know how my parents even managed because at the time I was 2 and caring for a child who's constantly having seizures and having to care for a toddler was hard and not knowing whats wrong with your child can be hard.
When we were first told about her diagnosis we couldn't even pronounce Hemimegalencephal never mind even spell it. We were told she may never walk and never talk again and then we were told if she wasn't accountable for surgery, because not everyone was, she was possibly be dead before she was two because the seizures would get her in the end and you'd run out of medication to control them.
One of the doctors who was caring for Mollie took my parents into a little room just off of the intensive care unit, sat us down and he told us that having Hemimegalencephal was a condition that had pretty much in-controllable seizures and they didn't know what to say or what to do. The doctor said she may be able to have surgery but if that was the case then she would have to have her brain removed, and thats what happened to her, she had the left hand side of her brain removed.
Now 5 years later, Mollie has grown up to be such a strong women. She's currently in year 1 learning how to read and how to right. Shes a very bold character and loves talking, she beat the odds and is a wonderful girl.




Comments
There are no comments for this story
Be the first to respond and start the conversation.