Cost Of Dental Bridges: Types, Material, And Intricacy
Dental Bridges Consultation

Absent and harmed teeth can be a significant certainty executioner for many individuals, deterring them from needing to flaunt their grins. There are various reasons that tooth misfortune and harm can happen. Disease or injury brought about by a mishap bringing about tooth evacuation is among probably the most widely recognized reasons for tooth misfortune and harm. Anything that the justification behind your tooth misfortune or harm is, dental bridge cost and crowns are a reasonable and reasonable arrangement that can assist with reestablishing the appearance and nature of your grin.
What Are Dental Bridges?
Contingent upon the conditions, dental bridge consultation can serve one of two principal capabilities. As the name proposes, they can be utilized to in a real sense overcome any issues brought about by one or different missing teeth. In addition, dental extensions can likewise be applied to harmed tooth structures that need some extra useful help, to make a uniform dental appearance and keep contamination from happening.
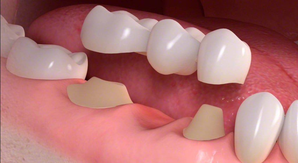
Dental Bridge comprises two fundamental parts:
- Projections, which are utilized to get the dental apparatus set up.
- A pontic, which is a phony tooth used to fill in the opening abandoned by the missing tooth.
Past work on the tasteful appearance of your grin, dental extensions can likewise lift and safeguard your general oral well-being. Holes in your teeth allow your gums to be uncovered to bacterial contamination. Dental extensions safeguard the gums and assist with fighting off openness to unsafe microbes by basically supplanting missing teeth and reinforcing harmed ones. Moreover, Dental Bridge works on your capacity to bite food and diminish or take out awareness and distress completely.
What Does The Course Of Dental Bridges Arrangement Involve?
The application interaction for dental bridge consultation is incredibly exact. All over, the actual technique is genuinely straightforward. Entanglements can emerge in light of a couple of case-explicit variables. Your dental specialist will begin by cautiously analyzing your whole oral and dental pit to distinguish any diseases, harms, and abnormalities. Any dental issues they find should be properly treated before the dental extension situation methodology can start.
When any current dental issues are settled, your dental specialist will take a couple of x-beams of your mouth. This will provide them with a smart thought of what the most fitting dental consideration treatment choices are for your particular condition.
Dental Bridge arrangement begins with shaving down or reshaping the teeth on the two sides of the hole so they can uphold the approaching crown or projection. Then, your dental specialist will make a form of the impacted region. When the shape is permitted to dry and completely set, it's shipped off to the lab where the dental bridge is made. Your dental specialist will plan an arrangement for a bridge fitting to guarantee that the construction fits safely and serenely in your mouth. The bridge will be protected and set up with areas of strength for grade-holding concrete to keep it from moving or getting harmed.
What Is The Dental Bridge Cost?
Dental Bridge expenses can shift in Canada between about $500 to $1,500 per tooth relying upon various elements.
Dental protection in Canada is ordinarily given by managers. A few bosses pay at least half or more with specific exemptions.
Other expense contemplations incorporate whether any going with strategies, for example, tooth extraction is required, the degree of planning expected for the dental bridges consultation, your dental specialist's area, and the kinds of materials utilized.
What Variables Impact The Expense Of A Dental Bridge?
Various elements can decide the expense of a dental Bridge in Canada. These incorporate the accompanying.
Sort Of Extension
Maryland or sap-reinforced spans depend on composite concrete for long-haul underlying scaffolding This is a negligibly intrusive dental extension application technique that is intended to hold however much tooth tissue as could reasonably be expected. It can cost anyplace somewhere in the range of $600 and $900 per retainer and an extra $200 to $400 per pontic. Lab expenses are likewise thought about and that can run somewhere in the range of $1,600 to $2,400.
Dental upheld spans depend on some primary help of the encompassing teeth. Dental bridge cost range from nearly $4,000 to $20,000 relying upon the intricacy of the system and whether a fractional or complete extension is required.
Materials Utilized
Various materials can be utilized for dental scaffolds. Gold and compound are among the most costly materials, however, they likewise give a greater amount of a counterfeit appearance and may draw in undesirable thoughtfulness regarding the missing tooth region.
Porcelain or a composite sap is ostensibly the better decision for dental bridge material since it's more strong, normal, and sufficiently adaptable to mimic the usefulness and presence of your unique teeth impeccably.
The Intricacy Of The Technique
Finally, the state of your encompassing projection teeth and your oral well-being overall can incredibly affect the expense of getting a dental bridge appointment put. The size of the tooth hole decides the quantity of dentures expected to fill it and this will likewise naturally drive up the expenses. After cautiously reviewing the state of your oral depression, your dental specialist ought to have the option to provide you with a point-by-point once-over of the work that should be all finished alongside a gauge before any work is begun.
About the Creator
Ingersoll DentalCentre
Ingersoll Dental Centre - Providing Dental Care Services in Ontario, including Dentures, Oral Hygiene, Veneers, & other Dental Services!



Comments
There are no comments for this story
Be the first to respond and start the conversation.