How to Make Tonsil Stones Fall Out
effective methods to make tonsil stones fall out

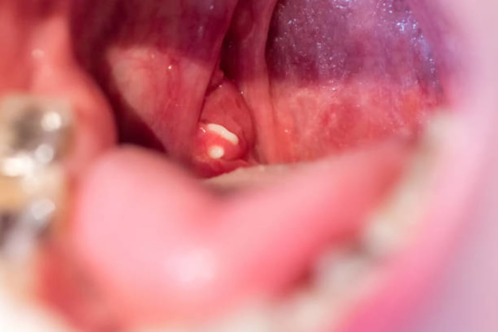
Have you ever experienced an unpleasant sensation in the back of your throat or noticed small, white, or yellowish lumps on your tonsils? These could be tonsil stones, also known as tonsilloliths. Tonsil stones are accumulations of bacteria, mucus, and debris that form in the crevices of the tonsils. While they are generally harmless, they can cause discomfort, bad breath, and other symptoms. In this article, we will explore effective methods to make tonsil stones fall out and provide you with valuable tips to prevent their recurrence.
Understanding the Formation of Tonsil Stones
Tonsil stones develop when bacteria, food particles, dead cells, and mucus accumulate in the crypts, or crevices, of the tonsils. Over time, these substances harden and form small, calcified masses. Factors like poor oral hygiene, chronic sinus issues, and post-nasal drip can contribute to the formation of tonsil stones.
Natural Methods to Dislodge Tonsil Stones
- Gargling with saltwater: Saltwater gargles can help dislodge tonsil stones by reducing inflammation and eliminating bacteria. Mix half a teaspoon of salt in warm water and gargle several times a day.
- Using a cotton swab or Q-tip: Gently applying pressure around the tonsil area with a cotton swab or Q-tip can help push the tonsil stones out. Be cautious not to trigger the gag reflex or cause any injury.
- Practicing good oral hygiene: Regular brushing, flossing, and tongue scraping can help prevent the accumulation of debris in the tonsils and reduce the formation of tonsil stones.
- Drinking plenty of water: Staying hydrated promotes saliva production, which can help flush out debris and bacteria from the tonsils.
- Consuming probiotics: Probiotics, either in the form of supplements or probiotic-rich foods, can help maintain a healthy balance of bacteria in the mouth and throat, reducing the likelihood of tonsil stone formation.
Medical Treatments for Tonsil Stones
In some cases, natural methods may not be effective, or the tonsil stones may be recurrent and cause persistent symptoms. In such instances, medical intervention may be necessary. These include:
- Tonsillectomy: Surgical removal of the tonsils can be considered for severe or recurrent tonsil stones.
- Laser cryptolysis: This procedure uses laser technology to vaporize the crypts and eliminate the tonsil stones. It is a minimally invasive approach that requires local anesthesia.
- Coblation cryptolysis: Coblation is a technique that utilizes radiofrequency energy to precisely target and remove tonsil stones. It is a relatively quick and safe procedure.
- Cryptolysis with radiofrequency ablation: This treatment involves using radiofrequency waves to dissolve and eliminate tonsil stones, while also reducing the depth of the tonsil crypts.

Prevention Tips to Avoid Tonsil Stones
While it may not be possible to prevent tonsil stones entirely, adopting certain practices can minimize their occurrence. Consider the following preventive measures:
- Regular brushing and flossing: Thoroughly cleaning your teeth and gums helps reduce the accumulation of bacteria and food particles in the mouth, which can contribute to tonsil stone formation.
- Tongue scraping: Gently scraping your tongue helps remove bacteria and debris that can lead to tonsil stone development.
- Avoiding smoking and alcohol: Smoking and excessive alcohol consumption can contribute to dry mouth and increase the risk of tonsil stone formation. Limiting or avoiding these habits can be beneficial.
- Maintaining hydration: Drinking an adequate amount of water throughout the day helps keep the mouth and throat moist, preventing the buildup of debris and bacteria.
- Avoiding dairy products: Some individuals find that reducing their intake of dairy products decreases the occurrence of tonsil stones. However, this may vary from person to person, so it's worth experimenting to see if it helps in your case.
When to Seek Medical Help
While tonsil stones are generally harmless, there are situations where medical attention is necessary. Consider seeking medical help if you experience:
- Persistent symptoms or discomfort associated with tonsil stones
- Recurrent tonsil stones that are causing frequent discomfort
- Severe bad breath or throat pain that affects your daily life
Remember, a healthcare professional can evaluate your specific situation and provide appropriate guidance and treatment options.
Conclusion
Tonsil stones can be bothersome, but there are effective methods to make them fall out. Natural remedies like saltwater gargles, gentle manipulation with cotton swabs, and good oral hygiene practices can often help dislodge tonsil stones. However, if the symptoms persist or the tonsil stones recur frequently, it's important to consult a healthcare professional for further evaluation and possible medical treatment. By adopting preventive measures and maintaining good oral hygiene, you can reduce the chances of developing tonsil stones and promote overall oral health.
>>> click here to discover the fastest way to get rid of tonsil stones smell
FAQs
Can tonsil stones be prevented completely?
Tonsil stones cannot be completely prevented, but maintaining good oral hygiene and following preventive measures can significantly reduce their occurrence.
Are tonsil stones contagious?
No, tonsil stones are not contagious. They are formed within the crevices of the tonsils and do not spread from person to person.
Do tonsil stones always cause bad breath?
Tonsil stones are a common cause of bad breath, but not all individuals with tonsil stones experience this symptom. Other factors can also contribute to bad breath.
Can tonsil stones lead to serious health issues?
While tonsil stones themselves are generally harmless, they can cause discomfort and contribute to bad breath. In rare cases, larger tonsil stones may lead to infection or swallowing difficulties.
Are there any home remedies for tonsil stones?
Yes, there are several home remedies for tonsil stones, such as gargling with saltwater, using cotton swabs, and practicing good oral hygiene. However, it's important to seek medical advice if the symptoms persist or worsen.
About the Creator
VitalityVibe
Welcome to VitalityVibe, your ultimate resource for unlocking your health potential and embracing a vibrant life. Our platform is designed to inspire and guide you on your journey to holistic well-being.



Comments
There are no comments for this story
Be the first to respond and start the conversation.